Atti Congressuali

Saluto Presidente Massimo de Bellis

Presentazione

Organizzazione

 

 

Lhermitte-Duclos disease leading to Phosphatase and Tensin homolog (PTEN) gene mutation diagnosis: clinical and neuroradiological features of dysplastic cerebellar gangliocytoma

G. Truci, T. Croese, M. Castellano, V. Martinelli, G. Comi, B. Colombo

 

 

 

 

Summary

 

 

 

 

 

 

Proceedings SNO

 

 

 

 

 

 

 

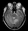
Adult-onset Lhermitte-Duclos disease (LDD) is a rare disorder, with a prevalence of < 1/1000000, characterized by slowly growing cerebellar hamartoma (dysplastic gangliocytoma) and was recognized to be one of the Cowden syndrome (CS) pathognomonic criteria since 2004. The clinical picture of LDD is associated with the enlarging tumor in the posterior cranial fossa, resulting in cerebellar dysfunction and raised intracranial pressure. Sometimes the patients complain of headache and mild instability only, but vomiting ataxia and dysarthria may also occur.A 43-year-old women, with a past history of breast cancer and thyroid structural lesions, was admitted in the emergency department of our institution after an accidental fall causing head trauma in the occipital region. A Computed tomography (CT) scan of the head showed low-density mass in the left-superior cerebellar hemisphere. She was otherwise asymptomatic. She was eventually admitted to the neurology department for further evaluation. We performed 3 Tesla Magnetic Resonance imaging (MRI) and spectroscopy showing a lesion of the left cerebellar hemisphere, with the characteristic «tiger-striped» appearence on T2-weighted image (T2WI) and slightly compressing fourth ventricle. No enhancement after gadolinium administration was observed neither significant modifications in the ratio of metabolites at spectroscopy were noticed compared with healthy controlateral parenchyma. Cerebral angiography confirmed that the lesion was poorly vascolarized. Clinical history and MRI imaging are highly suggestive and specific for a definite diagnosis of CS. Furthermore, optical coherence tomography (OCT) and fluoroangiography revealed an exudative maculopathy with choroidal neovascularization that was never described before neither with LDD or Cowden syndrome. Genetic testing detect germline mutation c. 204C > G, p.Tyr68* of PTEN tumor suppressor gene present on chromosome 10q23.3 confirming the diagnosis of CS. At 3, 6 and 12 month MRI follow-up the lesion remain stable and the patient is still asymptomatic.

 

Figure 1. T2WI, Gd+ T1WI and Spectroscopy at the time of diagnosis

 

 

 

 

 

 

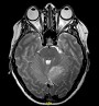
Figure 2.    

T2WI at 3 months

T2WI at 6 months

T2WI at 12 months

SWIp at 12 months

 

 

Considering the pathognomonic aspects of LDD on both 3T MRI, spectroscopy and angiography, and since the patient was asymptomatic, we show that biopsy is not necessary to make the definite diagnosis. Follow-up at 12 months was negative and since no certain data regarding the doubling time of LDD are available we are considering that surgical treatment should be restricted both to patients with clinical deterioration due to the mass effect of the lesion and cases where the diagnosis based on clinical evolution and radiological findings is still uncertain.

 

 

 

 

 

 

 

 

 


Articles from "Proceedings" are provided here courtesy of

SNO & new MAGAZINE s.r.l.


Info

Link

Contact

Credits

 Proceedings SNO - ISBN 978-88-8041 - Copyright  © 2017 SNO & new MAGAZINE s.r.l. - Italy